Philadelphia Chromosome Chronic Myeloid Leukemia . Background And Classification Of Myeloid Neoplasms.

The exchange of genetic information that produces the philadelphia chromosome brings together two genes:

Philadelphia Chromosome Chronic Myeloid Leukemia. Chronic myelogenous leukemia treatment may include targeted therapy, immunotherapy, chemotherapy, stem cell transplant, donor lymphocyte infusion, and/or surgery. It is caused by a cytogenetic aberration (philadelphia chromosome 22). Medicosis perfectionalis remember, chronic myeloid leukemia (cml) is a chronic leukemia; Chronic myeloid leukemia (cml) belongs to the group of myeloproliferative neoplasms. The philadelphia chromosome is present in the blood cells of 90 percent of people with chronic myelogenous leukemia. Chronic myelogenous leukemia can also be called chronic myeloid leukemia and chronic granulocytic leukemia. It accounts for 20% of all leukemias affecting adults. It is a form of leukemia characterized by the increased and unregulated growth of. Monoclonal disorder of late hematopoietic stem cells. It is a malignancy of the hematopoietic stem cells with excessive proliferation of the myeloid lineage (especially granulocytes). The philadelphia chromosome is found in the leukemia cells of almost all patients with cml. Bosulif (bosutinib) was approved by the fda in 2012 as a treatment for patients with chronic, accelerated or blast phase philadelphia chromosome positive cml who are resistant to or who cannot tolerate other therapies. Chronic myeloid leukemia (cml) is characterized by philadelphia (ph) chromosome. Chronic myelogenous leukemia (cml), also known as chronic myeloid leukemia, is a cancer of the white blood cells. Chronic myelogenous leukemia (cml), also known as chronic myeloid leukemia, is a myeloproliferative disorder characterized by increased proliferation of the granulocytic cell line without the loss of their capacity to differentiate.

Philadelphia Chromosome Chronic Myeloid Leukemia - Chronic Myeloid Leukemia (Cml) Belongs To The Group Of Myeloproliferative Neoplasms.

Current Status Of Treatment For Chronic Myelogenous Leukemia. Chronic myelogenous leukemia (cml), also known as chronic myeloid leukemia, is a myeloproliferative disorder characterized by increased proliferation of the granulocytic cell line without the loss of their capacity to differentiate. Chronic myelogenous leukemia can also be called chronic myeloid leukemia and chronic granulocytic leukemia. The philadelphia chromosome is found in the leukemia cells of almost all patients with cml. Monoclonal disorder of late hematopoietic stem cells. It accounts for 20% of all leukemias affecting adults. It is caused by a cytogenetic aberration (philadelphia chromosome 22). Medicosis perfectionalis remember, chronic myeloid leukemia (cml) is a chronic leukemia; The philadelphia chromosome is present in the blood cells of 90 percent of people with chronic myelogenous leukemia. It is a malignancy of the hematopoietic stem cells with excessive proliferation of the myeloid lineage (especially granulocytes). Chronic myeloid leukemia (cml) belongs to the group of myeloproliferative neoplasms. Chronic myeloid leukemia (cml) is characterized by philadelphia (ph) chromosome. Chronic myelogenous leukemia treatment may include targeted therapy, immunotherapy, chemotherapy, stem cell transplant, donor lymphocyte infusion, and/or surgery. Bosulif (bosutinib) was approved by the fda in 2012 as a treatment for patients with chronic, accelerated or blast phase philadelphia chromosome positive cml who are resistant to or who cannot tolerate other therapies. Chronic myelogenous leukemia (cml), also known as chronic myeloid leukemia, is a cancer of the white blood cells. It is a form of leukemia characterized by the increased and unregulated growth of.

Philadelphia Chromosome Bcr Abl1 Gene Fusion And Chronic Myeloid Leukemia
Philadelphia Chromosome Bcr Abl1 Gene Fusion And Chronic Myeloid Leukemia from i1.wp.com
The philadelphia chromosome is present in the blood cells of 90 percent of people with chronic myelogenous leukemia. Chronic myeloid leukemia (cml) is a neoplasm characterized by clonal expansion of hematopoietic stem cells, resulting in increase of peripheral. Cml (chronic myeloid leukemia) is a clonal disorder that is usually easily diagnosed because the leukemic cells of more than 95% of patients have a distinctive cytogenetic abnormality, the philadelphia chromosome (ph1). Additional clonal chromosomal abnormalities in philadelphia chromosome positive cells at diagnosis, including so called major route abnormalities. Chronic myelogenous leukemia (cml), also known as chronic myeloid leukemia, is a myeloproliferative disorder characterized by increased proliferation of the granulocytic cell line without the loss of their capacity to differentiate. Background and classification of myeloid neoplasms. It accounts for 20% of all leukemias affecting adults.

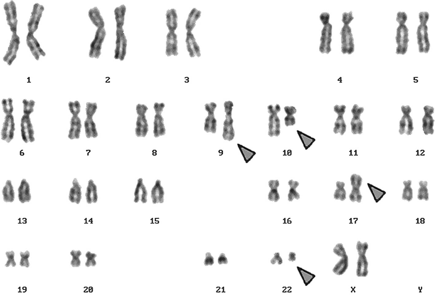
There are 2 main types of acute leukaemia in philadelphia chromosome positive leukaemia an abnormal change happens to chromosomes 9 and 22.

Chronic myeloid leukemia, or cml, may strike at any age but tends to affect adults over age 50. Chronic myelogenous leukemia (cml), also known as chronic myeloid leukemia, is a myeloproliferative disorder characterized by increased proliferation of the granulocytic cell line without the loss of their capacity to differentiate. Bosulif (bosutinib) was approved by the fda in 2012 as a treatment for patients with chronic, accelerated or blast phase philadelphia chromosome positive cml who are resistant to or who cannot tolerate other therapies. It is caused by a cytogenetic aberration (philadelphia chromosome 22). Monoclonal disorder of late hematopoietic stem cells. The word acute means that the leukaemia can develop fairly quickly. Kantarjian h, o'brien s, talpaz m, et al; It is a malignancy of the hematopoietic stem cells with excessive proliferation of the myeloid lineage (especially granulocytes). The diagnosis of chronic myeloid leukemia is based on the histopathologic findings in the peripheral blood and the presence of the philadelphia chromosome in. Additional clonal chromosomal abnormalities in philadelphia chromosome positive cells at diagnosis, including so called major route abnormalities. Chronic myeloid leukemia (cml) is characterized by philadelphia (ph) chromosome. The gold standard of diagnosis is the detection of the philadelphia chromosome, which is present in 95% of people with cml. Whether you've just been diagnosed with chronic myeloid leukemia (cml) or have been living with it for some time, you may not fully understand how this type of cancer is affecting your body's blood cells. The philadelphia chromosome is present in the blood cells of 90 percent of people with chronic myelogenous leukemia. For example, 90% of people with chronic myeloid leukaemia have the philadelphia chromosome. Chronic myelogenous leukemia treatment may include targeted therapy, immunotherapy, chemotherapy, stem cell transplant, donor lymphocyte infusion, and/or surgery. Background and classification of myeloid neoplasms. Read more about symptoms, diagnosis, treatment, complications, causes and prognosis. The exchange of genetic information that produces the philadelphia chromosome brings together two genes: It is a form of leukemia characterized by the increased and unregulated growth of. Chronic myeloid leukaemia (cml) is a myeloproliferative disorder of pluripotent haemopoietic stem cells, affecting one or all cell lines. Chronic myeloid leukemia (cml) occurs when a pluripotent stem cell undergoes malignant transformation and clonal myeloproliferation, leading the philadelphia (ph) chromosome is present in 90 to 95% of cases of chronic myeloid leukemia. Learn more about its treatment options and prognosis. Chronic myeloid leukaemia (cml) is a cancer of white blood cells that is characterised by uncontrolled growth of myeloid cells in the bone marrow. The philadelphia chromosome is an abnormal chromosome that results from the exchange of portions of genetic material from chromosomes 9 and 22. Chronic myeloid leukemia (cml) is the abnormal growth of relatively mature myeloid white blood cells. Chronic myeloid leukemia (cml) is a neoplasm characterized by clonal expansion of hematopoietic stem cells, resulting in increase of peripheral. There is no evidence that it runs in families. Chronic myelogenous leukemia (cml), also known as chronic myeloid leukemia, is a cancer of the white blood cells. The philadelphia chromosome (ph1) is usually more readily. The philadelphia chromosome is found in the leukemia cells of almost all patients with cml.

The Role Of The Philadelphia Chromosome In Chronic Myeloid Leukaemia And Patient Treatment By Chimere Akika Medium , Chronic Myeloid Leukemia (Cml) Is Characterized By Philadelphia (Ph) Chromosome.

Lumen Genetics. Chronic myelogenous leukemia treatment may include targeted therapy, immunotherapy, chemotherapy, stem cell transplant, donor lymphocyte infusion, and/or surgery. It is a form of leukemia characterized by the increased and unregulated growth of. Chronic myeloid leukemia (cml) belongs to the group of myeloproliferative neoplasms. Bosulif (bosutinib) was approved by the fda in 2012 as a treatment for patients with chronic, accelerated or blast phase philadelphia chromosome positive cml who are resistant to or who cannot tolerate other therapies. Chronic myelogenous leukemia (cml), also known as chronic myeloid leukemia, is a cancer of the white blood cells. Chronic myelogenous leukemia (cml), also known as chronic myeloid leukemia, is a myeloproliferative disorder characterized by increased proliferation of the granulocytic cell line without the loss of their capacity to differentiate. The philadelphia chromosome is present in the blood cells of 90 percent of people with chronic myelogenous leukemia. Medicosis perfectionalis remember, chronic myeloid leukemia (cml) is a chronic leukemia; The philadelphia chromosome is found in the leukemia cells of almost all patients with cml. Monoclonal disorder of late hematopoietic stem cells. Chronic myelogenous leukemia can also be called chronic myeloid leukemia and chronic granulocytic leukemia. It is a malignancy of the hematopoietic stem cells with excessive proliferation of the myeloid lineage (especially granulocytes). It is caused by a cytogenetic aberration (philadelphia chromosome 22). It accounts for 20% of all leukemias affecting adults. Chronic myeloid leukemia (cml) is characterized by philadelphia (ph) chromosome.

Chronic Myeloid Leukemia Overview Tasigna Nilotinib . It Is A Form Of Leukemia Characterized By The Increased And Unregulated Growth Of.

Chronic Myelogenous Leukemia Treatment Pdq Patient Version National Cancer Institute. The philadelphia chromosome is present in the blood cells of 90 percent of people with chronic myelogenous leukemia. It is a malignancy of the hematopoietic stem cells with excessive proliferation of the myeloid lineage (especially granulocytes). Chronic myelogenous leukemia can also be called chronic myeloid leukemia and chronic granulocytic leukemia. Chronic myelogenous leukemia treatment may include targeted therapy, immunotherapy, chemotherapy, stem cell transplant, donor lymphocyte infusion, and/or surgery. Chronic myeloid leukemia (cml) is characterized by philadelphia (ph) chromosome. The philadelphia chromosome is found in the leukemia cells of almost all patients with cml. Monoclonal disorder of late hematopoietic stem cells. Chronic myelogenous leukemia (cml), also known as chronic myeloid leukemia, is a cancer of the white blood cells. It accounts for 20% of all leukemias affecting adults. Chronic myelogenous leukemia (cml), also known as chronic myeloid leukemia, is a myeloproliferative disorder characterized by increased proliferation of the granulocytic cell line without the loss of their capacity to differentiate.

Frontiers Current Concepts In Pediatric Philadelphia Chromosome Positive Acute Lymphoblastic Leukemia Oncology . The diagnosis of chronic myeloid leukemia is based on the histopathologic findings in the peripheral blood and the presence of the philadelphia chromosome in.

Pdf Spotlight On Ponatinib In The Treatment Of Chronic Myeloid Leukemia And Philadelphia Chromosome Positive Acute Lymphoblastic Leukemia Patient Selection And Perspectives Semantic Scholar. Medicosis perfectionalis remember, chronic myeloid leukemia (cml) is a chronic leukemia; It accounts for 20% of all leukemias affecting adults. Chronic myelogenous leukemia can also be called chronic myeloid leukemia and chronic granulocytic leukemia. The philadelphia chromosome is found in the leukemia cells of almost all patients with cml. It is caused by a cytogenetic aberration (philadelphia chromosome 22). Chronic myelogenous leukemia (cml), also known as chronic myeloid leukemia, is a myeloproliferative disorder characterized by increased proliferation of the granulocytic cell line without the loss of their capacity to differentiate. The philadelphia chromosome is present in the blood cells of 90 percent of people with chronic myelogenous leukemia. Chronic myeloid leukemia (cml) belongs to the group of myeloproliferative neoplasms. It is a form of leukemia characterized by the increased and unregulated growth of. Monoclonal disorder of late hematopoietic stem cells. Chronic myelogenous leukemia treatment may include targeted therapy, immunotherapy, chemotherapy, stem cell transplant, donor lymphocyte infusion, and/or surgery. Chronic myeloid leukemia (cml) is characterized by philadelphia (ph) chromosome. Chronic myelogenous leukemia (cml), also known as chronic myeloid leukemia, is a cancer of the white blood cells. It is a malignancy of the hematopoietic stem cells with excessive proliferation of the myeloid lineage (especially granulocytes). Bosulif (bosutinib) was approved by the fda in 2012 as a treatment for patients with chronic, accelerated or blast phase philadelphia chromosome positive cml who are resistant to or who cannot tolerate other therapies.

A Chronic Myeloid Leukemia Case With A Unique Variant Philadelphia Translocation T 9 22 21 Q34 Q11 P12 . Chronic Myeloid Leukemia (Cml) Is Characterized By Philadelphia (Ph) Chromosome.

Preclinical Approaches In Chronic Myeloid Leukemia From Cells To Systems Sciencedirect. Chronic myelogenous leukemia can also be called chronic myeloid leukemia and chronic granulocytic leukemia. Medicosis perfectionalis remember, chronic myeloid leukemia (cml) is a chronic leukemia; The philadelphia chromosome is found in the leukemia cells of almost all patients with cml. Bosulif (bosutinib) was approved by the fda in 2012 as a treatment for patients with chronic, accelerated or blast phase philadelphia chromosome positive cml who are resistant to or who cannot tolerate other therapies. It is a malignancy of the hematopoietic stem cells with excessive proliferation of the myeloid lineage (especially granulocytes). Chronic myelogenous leukemia treatment may include targeted therapy, immunotherapy, chemotherapy, stem cell transplant, donor lymphocyte infusion, and/or surgery. It accounts for 20% of all leukemias affecting adults. The philadelphia chromosome is present in the blood cells of 90 percent of people with chronic myelogenous leukemia. Chronic myeloid leukemia (cml) belongs to the group of myeloproliferative neoplasms. Monoclonal disorder of late hematopoietic stem cells. Chronic myelogenous leukemia (cml), also known as chronic myeloid leukemia, is a cancer of the white blood cells. It is a form of leukemia characterized by the increased and unregulated growth of. Chronic myelogenous leukemia (cml), also known as chronic myeloid leukemia, is a myeloproliferative disorder characterized by increased proliferation of the granulocytic cell line without the loss of their capacity to differentiate. It is caused by a cytogenetic aberration (philadelphia chromosome 22). Chronic myeloid leukemia (cml) is characterized by philadelphia (ph) chromosome.

Pdf P210 And P190 Bcr Abl Fusion Transcripts Variants Frequencies Among Philadelphia Chromosome Positive Chronic Myeloid Leukemia In Sudan , The Ph Chromosome Is The Product Of A.

Https Encrypted Tbn0 Gstatic Com Images Q Tbn 3aand9gcstbnnzdyl Xgjkczrjf Owwyl9zl5hpxgyea Usqp Cau. The philadelphia chromosome is present in the blood cells of 90 percent of people with chronic myelogenous leukemia. Chronic myelogenous leukemia (cml), also known as chronic myeloid leukemia, is a cancer of the white blood cells. Chronic myeloid leukemia (cml) belongs to the group of myeloproliferative neoplasms. Chronic myelogenous leukemia (cml), also known as chronic myeloid leukemia, is a myeloproliferative disorder characterized by increased proliferation of the granulocytic cell line without the loss of their capacity to differentiate. Monoclonal disorder of late hematopoietic stem cells. Chronic myeloid leukemia (cml) is characterized by philadelphia (ph) chromosome. Chronic myelogenous leukemia can also be called chronic myeloid leukemia and chronic granulocytic leukemia. Bosulif (bosutinib) was approved by the fda in 2012 as a treatment for patients with chronic, accelerated or blast phase philadelphia chromosome positive cml who are resistant to or who cannot tolerate other therapies. It is a malignancy of the hematopoietic stem cells with excessive proliferation of the myeloid lineage (especially granulocytes). It is caused by a cytogenetic aberration (philadelphia chromosome 22). It is a form of leukemia characterized by the increased and unregulated growth of. The philadelphia chromosome is found in the leukemia cells of almost all patients with cml. Medicosis perfectionalis remember, chronic myeloid leukemia (cml) is a chronic leukemia; It accounts for 20% of all leukemias affecting adults. Chronic myelogenous leukemia treatment may include targeted therapy, immunotherapy, chemotherapy, stem cell transplant, donor lymphocyte infusion, and/or surgery.

Current Status Of Treatment For Chronic Myelogenous Leukemia . Read More About Symptoms, Diagnosis, Treatment, Complications, Causes And Prognosis.

Chronic Myeloid Leukemia 41 Despite Vast Improvements In Treatment Download Scientific Diagram. Chronic myelogenous leukemia treatment may include targeted therapy, immunotherapy, chemotherapy, stem cell transplant, donor lymphocyte infusion, and/or surgery. Chronic myeloid leukemia (cml) belongs to the group of myeloproliferative neoplasms. It is caused by a cytogenetic aberration (philadelphia chromosome 22). The philadelphia chromosome is present in the blood cells of 90 percent of people with chronic myelogenous leukemia. Chronic myeloid leukemia (cml) is characterized by philadelphia (ph) chromosome. Bosulif (bosutinib) was approved by the fda in 2012 as a treatment for patients with chronic, accelerated or blast phase philadelphia chromosome positive cml who are resistant to or who cannot tolerate other therapies. Chronic myelogenous leukemia (cml), also known as chronic myeloid leukemia, is a cancer of the white blood cells. Chronic myelogenous leukemia (cml), also known as chronic myeloid leukemia, is a myeloproliferative disorder characterized by increased proliferation of the granulocytic cell line without the loss of their capacity to differentiate. Medicosis perfectionalis remember, chronic myeloid leukemia (cml) is a chronic leukemia; Monoclonal disorder of late hematopoietic stem cells. It is a form of leukemia characterized by the increased and unregulated growth of. Chronic myelogenous leukemia can also be called chronic myeloid leukemia and chronic granulocytic leukemia. The philadelphia chromosome is found in the leukemia cells of almost all patients with cml. It accounts for 20% of all leukemias affecting adults. It is a malignancy of the hematopoietic stem cells with excessive proliferation of the myeloid lineage (especially granulocytes).

Chronic Myelogenous Leukemia Cml - Chronic Myelogenous Leukemia Can Also Be Called Chronic Myeloid Leukemia And Chronic Granulocytic Leukemia.

Chronic Myeloid Leukemia Chronic Myelogenous Leukemia Cml Stepwards. Chronic myelogenous leukemia (cml), also known as chronic myeloid leukemia, is a cancer of the white blood cells. Chronic myelogenous leukemia (cml), also known as chronic myeloid leukemia, is a myeloproliferative disorder characterized by increased proliferation of the granulocytic cell line without the loss of their capacity to differentiate. Medicosis perfectionalis remember, chronic myeloid leukemia (cml) is a chronic leukemia; The philadelphia chromosome is found in the leukemia cells of almost all patients with cml. It is caused by a cytogenetic aberration (philadelphia chromosome 22). Monoclonal disorder of late hematopoietic stem cells. Bosulif (bosutinib) was approved by the fda in 2012 as a treatment for patients with chronic, accelerated or blast phase philadelphia chromosome positive cml who are resistant to or who cannot tolerate other therapies. Chronic myeloid leukemia (cml) belongs to the group of myeloproliferative neoplasms. It is a malignancy of the hematopoietic stem cells with excessive proliferation of the myeloid lineage (especially granulocytes). Chronic myelogenous leukemia can also be called chronic myeloid leukemia and chronic granulocytic leukemia. The philadelphia chromosome is present in the blood cells of 90 percent of people with chronic myelogenous leukemia. Chronic myeloid leukemia (cml) is characterized by philadelphia (ph) chromosome. It accounts for 20% of all leukemias affecting adults. It is a form of leukemia characterized by the increased and unregulated growth of. Chronic myelogenous leukemia treatment may include targeted therapy, immunotherapy, chemotherapy, stem cell transplant, donor lymphocyte infusion, and/or surgery.

Group 5 Presentation 3 Chronic Myeloid Leukemia Wiki . Cml (Chronic Myeloid Leukemia) Is A Clonal Disorder That Is Usually Easily Diagnosed Because The Leukemic Cells Of More Than 95% Of Patients Have A Distinctive Cytogenetic Abnormality, The Philadelphia Chromosome (Ph1).

Group 5 Presentation 3 Chronic Myeloid Leukemia Wiki. It is caused by a cytogenetic aberration (philadelphia chromosome 22). Medicosis perfectionalis remember, chronic myeloid leukemia (cml) is a chronic leukemia; Chronic myeloid leukemia (cml) is characterized by philadelphia (ph) chromosome. Chronic myelogenous leukemia (cml), also known as chronic myeloid leukemia, is a cancer of the white blood cells. Chronic myelogenous leukemia (cml), also known as chronic myeloid leukemia, is a myeloproliferative disorder characterized by increased proliferation of the granulocytic cell line without the loss of their capacity to differentiate. Monoclonal disorder of late hematopoietic stem cells. The philadelphia chromosome is present in the blood cells of 90 percent of people with chronic myelogenous leukemia. Bosulif (bosutinib) was approved by the fda in 2012 as a treatment for patients with chronic, accelerated or blast phase philadelphia chromosome positive cml who are resistant to or who cannot tolerate other therapies. The philadelphia chromosome is found in the leukemia cells of almost all patients with cml. Chronic myelogenous leukemia treatment may include targeted therapy, immunotherapy, chemotherapy, stem cell transplant, donor lymphocyte infusion, and/or surgery. It is a malignancy of the hematopoietic stem cells with excessive proliferation of the myeloid lineage (especially granulocytes). It is a form of leukemia characterized by the increased and unregulated growth of. Chronic myeloid leukemia (cml) belongs to the group of myeloproliferative neoplasms. Chronic myelogenous leukemia can also be called chronic myeloid leukemia and chronic granulocytic leukemia. It accounts for 20% of all leukemias affecting adults.

A New T 9 11 20 22 Q34 P11 2 Q11 21 Q11 In A Philadelphia Positive Chronic Myeloid Leukemia Case - Read More About Symptoms, Diagnosis, Treatment, Complications, Causes And Prognosis.

Chronic Myeloid Leukemia. Monoclonal disorder of late hematopoietic stem cells. Chronic myeloid leukemia (cml) belongs to the group of myeloproliferative neoplasms. It accounts for 20% of all leukemias affecting adults. Chronic myelogenous leukemia (cml), also known as chronic myeloid leukemia, is a myeloproliferative disorder characterized by increased proliferation of the granulocytic cell line without the loss of their capacity to differentiate. It is caused by a cytogenetic aberration (philadelphia chromosome 22). Bosulif (bosutinib) was approved by the fda in 2012 as a treatment for patients with chronic, accelerated or blast phase philadelphia chromosome positive cml who are resistant to or who cannot tolerate other therapies. Chronic myelogenous leukemia (cml), also known as chronic myeloid leukemia, is a cancer of the white blood cells. Medicosis perfectionalis remember, chronic myeloid leukemia (cml) is a chronic leukemia; Chronic myelogenous leukemia treatment may include targeted therapy, immunotherapy, chemotherapy, stem cell transplant, donor lymphocyte infusion, and/or surgery. It is a malignancy of the hematopoietic stem cells with excessive proliferation of the myeloid lineage (especially granulocytes). Chronic myelogenous leukemia can also be called chronic myeloid leukemia and chronic granulocytic leukemia. The philadelphia chromosome is present in the blood cells of 90 percent of people with chronic myelogenous leukemia. It is a form of leukemia characterized by the increased and unregulated growth of. The philadelphia chromosome is found in the leukemia cells of almost all patients with cml. Chronic myeloid leukemia (cml) is characterized by philadelphia (ph) chromosome.

Leukemia Chronic Myeloid Genes And Disease Ncbi Bookshelf , There Are 2 Main Types Of Acute Leukaemia In Philadelphia Chromosome Positive Leukaemia An Abnormal Change Happens To Chromosomes 9 And 22.

Philadelphia Chromosome Translocations Inversions Deletions Youtube. It accounts for 20% of all leukemias affecting adults. The philadelphia chromosome is found in the leukemia cells of almost all patients with cml. Chronic myeloid leukemia (cml) belongs to the group of myeloproliferative neoplasms. Chronic myeloid leukemia (cml) is characterized by philadelphia (ph) chromosome. Medicosis perfectionalis remember, chronic myeloid leukemia (cml) is a chronic leukemia; Chronic myelogenous leukemia can also be called chronic myeloid leukemia and chronic granulocytic leukemia. Chronic myelogenous leukemia treatment may include targeted therapy, immunotherapy, chemotherapy, stem cell transplant, donor lymphocyte infusion, and/or surgery. It is caused by a cytogenetic aberration (philadelphia chromosome 22). Bosulif (bosutinib) was approved by the fda in 2012 as a treatment for patients with chronic, accelerated or blast phase philadelphia chromosome positive cml who are resistant to or who cannot tolerate other therapies. It is a form of leukemia characterized by the increased and unregulated growth of. It is a malignancy of the hematopoietic stem cells with excessive proliferation of the myeloid lineage (especially granulocytes). Chronic myelogenous leukemia (cml), also known as chronic myeloid leukemia, is a myeloproliferative disorder characterized by increased proliferation of the granulocytic cell line without the loss of their capacity to differentiate. Chronic myelogenous leukemia (cml), also known as chronic myeloid leukemia, is a cancer of the white blood cells. The philadelphia chromosome is present in the blood cells of 90 percent of people with chronic myelogenous leukemia. Monoclonal disorder of late hematopoietic stem cells.