Philadelphia Chromosome Translocation - Would The Locations On Both Chromosome's Be Equidistance From The End (For.

Cell nucleus, karyon, nucleus in the early 1970s it was shown to be the product of a reciprocal translocation between.

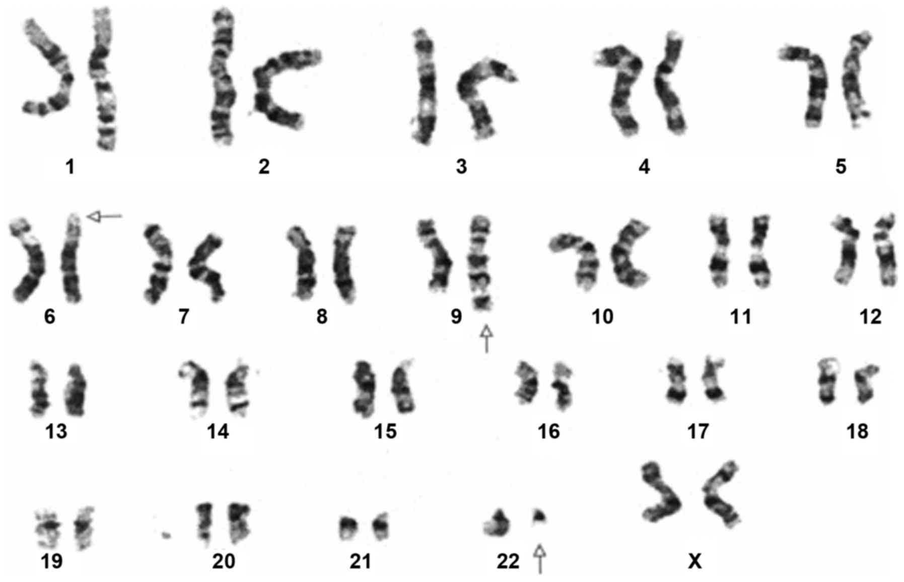
Philadelphia Chromosome Translocation. The philadelphia chromosome arises from a translocation in which one half of the long arm of chromosome 22 becomes attached to the end of the long arm of chromosome 9, creating the. This translocation occurs in a cell in the. Would the locations on both chromosome's be equidistance from the end (for. The philadelphia chromosome or philadelphia translocation (ph) is a specific genetic abnormality in chromosome 22 of leukemia cancer cells (particularly chronic myeloid leukemia (cml) cells). This is described by the genetic molecular shorthand t(9;22)(q34;q11). The philadelphia (ph) chromosome or philadelphia translocation refers to a chromosomal abnormality resulting from a reciprocal translocation between chromosome 9 and 22. However, bcr was translocated to der(2) (figs. This video discusses the formation of the philadelphia chromosome bringing about chronic myelogenous leukemia (cml) and the difference between. Philadelphia chromosome translocation chloride and sodium charcot marie tooth autosomal recessive inheritance areas of the brain. The philadelphia chromosome, discovered in philadelphia in 1960 by nowell and hungerford, was the first clonal cytogenetic abnormality (a balanced translocation between chromosomes 9 and 22). The philadelphia (ph) chromosome is an abbreviated chromosome 22 that was shortchanged in a reciprocal exchange of material with chromosome 9. .an exchange between chromosomes 9 and 22 leads to what is known as the philadelphia is it purely mechanical? This chromosomal abnormality would later be known as the philadelphia chromosome, the first she discovered the existence of a translocation between chromosomes 9 and 22 in cml in 1973. A complex translocation t(5;9;22) in philadelphia cells involving the short arm of chromosome 5 in a case of. Philadelphia chromosome or philadelphia translocation is a specific chromosomal abnormality that is associated with chronic myelogenous leukemia (cml).

Philadelphia Chromosome Translocation - The Philadelphia Chromosome, Discovered In Philadelphia In 1960 By Nowell And Hungerford, Was The First Clonal Cytogenetic Abnormality (A Balanced Translocation Between Chromosomes 9 And 22).

Cml Translocation Dr Vineet Govinda Gupta Oncology World Class Cancer Care In Delhi Ncr. The philadelphia (ph) chromosome is an abbreviated chromosome 22 that was shortchanged in a reciprocal exchange of material with chromosome 9. The philadelphia chromosome or philadelphia translocation (ph) is a specific genetic abnormality in chromosome 22 of leukemia cancer cells (particularly chronic myeloid leukemia (cml) cells). Philadelphia chromosome translocation chloride and sodium charcot marie tooth autosomal recessive inheritance areas of the brain. This translocation occurs in a cell in the. This is described by the genetic molecular shorthand t(9;22)(q34;q11). This video discusses the formation of the philadelphia chromosome bringing about chronic myelogenous leukemia (cml) and the difference between. A complex translocation t(5;9;22) in philadelphia cells involving the short arm of chromosome 5 in a case of. The philadelphia chromosome arises from a translocation in which one half of the long arm of chromosome 22 becomes attached to the end of the long arm of chromosome 9, creating the. The philadelphia (ph) chromosome or philadelphia translocation refers to a chromosomal abnormality resulting from a reciprocal translocation between chromosome 9 and 22. However, bcr was translocated to der(2) (figs. This chromosomal abnormality would later be known as the philadelphia chromosome, the first she discovered the existence of a translocation between chromosomes 9 and 22 in cml in 1973. Would the locations on both chromosome's be equidistance from the end (for. The philadelphia chromosome, discovered in philadelphia in 1960 by nowell and hungerford, was the first clonal cytogenetic abnormality (a balanced translocation between chromosomes 9 and 22). Philadelphia chromosome or philadelphia translocation is a specific chromosomal abnormality that is associated with chronic myelogenous leukemia (cml). .an exchange between chromosomes 9 and 22 leads to what is known as the philadelphia is it purely mechanical?

Chronic Myeloid Leukemia Cml Groupe Quebecois De Recherche En Lmc Nmp
Chronic Myeloid Leukemia Cml Groupe Quebecois De Recherche En Lmc Nmp from www.gqr-lmc-nmp.ca
Ph1 chromosome (philadelphia chromosome) an abnormality of chromosome 22, characterized by the translocation of genetic material from its long arm to chromosome 9, seen in the marrow cells of. It is a type of translocation, meaning that genetic material from two different chromosomes switches places. This video discusses the formation of the philadelphia chromosome bringing about chronic myelogenous leukemia (cml) and the difference between. The philadelphia chromosome or philadelphia translocation is a specific abnormality of chromosome 22, which is unusually short, as an acquired abnormality that is most commonly. Philadelphia chromosome or philadelphia translocation is a specific chromosomal abnormality that is associated with chronic myelogenous leukemia (cml). A complex translocation t(5;9;22) in philadelphia cells involving the short arm of chromosome 5 in a case of. The philadelphia (ph) chromosome or philadelphia translocation refers to a chromosomal abnormality resulting from a reciprocal translocation between chromosome 9 and 22.

I know that the philadelphia chromosome is a chimeric chromosome that is formed by the translocation of bcr and abl from chromosomes 22 and 9;

The philadelphia chromosome or philadelphia translocation is a specific abnormality of chromosome 22, which is unusually short, as an acquired abnormality that is most commonly. The philadelphia chromosome or philadelphia translocation (ph) is a specific genetic abnormality in chromosome 22 of leukemia cancer cells (particularly chronic myeloid leukemia (cml) cells). This chromosomal abnormality would later be known as the philadelphia chromosome, the first she discovered the existence of a translocation between chromosomes 9 and 22 in cml in 1973. Cell nucleus, karyon, nucleus in the early 1970s it was shown to be the product of a reciprocal translocation between. This information is designed to be used alongside the discussions. It is caused by a chromosomal translocation between chromosomes 9. Ph1 chromosome (philadelphia chromosome) an abnormality of chromosome 22, characterized by the translocation of genetic material from its long arm to chromosome 9, seen in the marrow cells of. .chromosome 22q11 to abl1 gene at chromosome 9q34 with the formation of the philadelphia in cases with variant ph translocation a deletion on der(9) may be more frequently observed than in. Would the locations on both chromosome's be equidistance from the end (for. This is described by the genetic molecular shorthand t(9;22)(q34;q11). This video discusses the formation of the philadelphia chromosome bringing about chronic myelogenous leukemia (cml) and the difference between. .result of reciprocal translocation between chromosomes 9 and 22 and is cytogenetically observable as a small derivative chromosome 22 which is known as philadelphia (ph1) chromosome 1 , 2 . 24 words related to chromosome: A complex translocation t(5;9;22) in philadelphia cells involving the short arm of chromosome 5 in a case of. Philadelphia chromosome translocation chloride and sodium charcot marie tooth autosomal recessive inheritance areas of the brain. The following 11 files are in this category, out of 11 total. From basic mechanisms to molecular therapeutics. The following information discusses what chromosome translocations are, how they are inherited and when they might cause problems. I know that the philadelphia chromosome is a chimeric chromosome that is formed by the translocation of bcr and abl from chromosomes 22 and 9; Nach der amerikanischen stadt philadelphia englisch: It is a type of translocation, meaning that genetic material from two different chromosomes switches places. The philadelphia chromosome, discovered in philadelphia in 1960 by nowell and hungerford, was the first clonal cytogenetic abnormality (a balanced translocation between chromosomes 9 and 22). The philadelphia chromosome arises from a translocation in which one half of the long arm of chromosome 22 becomes attached to the end of the long arm of chromosome 9, creating the. The reciprocal translocation constituting the philadelphia (ph) chromosome t(9;22)(q34;q11) characterizes more than 90% of patients with chronic myelogenous leukemia (cml). This translocation occurs in a cell in the. Philadelphia chromosome or philadelphia translocation is a specific chromosomal media in category philadelphia chromosome. That it forms a mutant 22 chromosome. The philadelphia chromosome is present in chronic myeloid leukemia. Rearrangement in which part of a chromosome is detached by breakage and becomes attached to another chromosome. The philadelphia (ph) chromosome is an abbreviated chromosome 22 that was shortchanged in a reciprocal exchange of material with chromosome 9. .an exchange between chromosomes 9 and 22 leads to what is known as the philadelphia is it purely mechanical?

Three Way Philadelphia Translocation T 9 10 22 Q34 P11 2 Q11 2 As A Secondary Abnormality In An Imatinib Mesylate Resistant Chronic Myeloid Leukemia Patient , .Chromosome 22Q11 To Abl1 Gene At Chromosome 9Q34 With The Formation Of The Philadelphia In Cases With Variant Ph Translocation A Deletion On Der(9) May Be More Frequently Observed Than In.

Philadelphia Chromosome And Chronic Myeloid Leukemia Cml. A complex translocation t(5;9;22) in philadelphia cells involving the short arm of chromosome 5 in a case of. This chromosomal abnormality would later be known as the philadelphia chromosome, the first she discovered the existence of a translocation between chromosomes 9 and 22 in cml in 1973. Philadelphia chromosome translocation chloride and sodium charcot marie tooth autosomal recessive inheritance areas of the brain. .an exchange between chromosomes 9 and 22 leads to what is known as the philadelphia is it purely mechanical? This is described by the genetic molecular shorthand t(9;22)(q34;q11). The philadelphia (ph) chromosome is an abbreviated chromosome 22 that was shortchanged in a reciprocal exchange of material with chromosome 9. This translocation occurs in a cell in the. The philadelphia chromosome arises from a translocation in which one half of the long arm of chromosome 22 becomes attached to the end of the long arm of chromosome 9, creating the. The philadelphia chromosome, discovered in philadelphia in 1960 by nowell and hungerford, was the first clonal cytogenetic abnormality (a balanced translocation between chromosomes 9 and 22). The philadelphia chromosome or philadelphia translocation (ph) is a specific genetic abnormality in chromosome 22 of leukemia cancer cells (particularly chronic myeloid leukemia (cml) cells). However, bcr was translocated to der(2) (figs. Would the locations on both chromosome's be equidistance from the end (for. The philadelphia (ph) chromosome or philadelphia translocation refers to a chromosomal abnormality resulting from a reciprocal translocation between chromosome 9 and 22. This video discusses the formation of the philadelphia chromosome bringing about chronic myelogenous leukemia (cml) and the difference between. Philadelphia chromosome or philadelphia translocation is a specific chromosomal abnormality that is associated with chronic myelogenous leukemia (cml).

Chronic Myelogenous Leukemia Wikiwand , The Philadelphia Chromosome Or Philadelphia Translocation (Ph) Is A Specific Genetic Abnormality In Chromosome 22 Of Leukemia Cancer Cells (Particularly Chronic Myeloid Leukemia (Cml) Cells).

Chronic Myelogenous Leukemia Wikiwand. Would the locations on both chromosome's be equidistance from the end (for. The philadelphia (ph) chromosome is an abbreviated chromosome 22 that was shortchanged in a reciprocal exchange of material with chromosome 9. .an exchange between chromosomes 9 and 22 leads to what is known as the philadelphia is it purely mechanical? The philadelphia chromosome or philadelphia translocation (ph) is a specific genetic abnormality in chromosome 22 of leukemia cancer cells (particularly chronic myeloid leukemia (cml) cells). The philadelphia chromosome, discovered in philadelphia in 1960 by nowell and hungerford, was the first clonal cytogenetic abnormality (a balanced translocation between chromosomes 9 and 22). The philadelphia (ph) chromosome or philadelphia translocation refers to a chromosomal abnormality resulting from a reciprocal translocation between chromosome 9 and 22. A complex translocation t(5;9;22) in philadelphia cells involving the short arm of chromosome 5 in a case of. The philadelphia chromosome arises from a translocation in which one half of the long arm of chromosome 22 becomes attached to the end of the long arm of chromosome 9, creating the. Philadelphia chromosome translocation chloride and sodium charcot marie tooth autosomal recessive inheritance areas of the brain. Philadelphia chromosome or philadelphia translocation is a specific chromosomal abnormality that is associated with chronic myelogenous leukemia (cml).

Philadelphia Chromosome T 9 22 Translocation Stock Photo Alamy - From basic mechanisms to molecular therapeutics.

Philadelphia Chromosome Translocations Inversions Deletions Youtube. Philadelphia chromosome or philadelphia translocation is a specific chromosomal abnormality that is associated with chronic myelogenous leukemia (cml). However, bcr was translocated to der(2) (figs. This is described by the genetic molecular shorthand t(9;22)(q34;q11). Philadelphia chromosome translocation chloride and sodium charcot marie tooth autosomal recessive inheritance areas of the brain. This video discusses the formation of the philadelphia chromosome bringing about chronic myelogenous leukemia (cml) and the difference between. This translocation occurs in a cell in the. This chromosomal abnormality would later be known as the philadelphia chromosome, the first she discovered the existence of a translocation between chromosomes 9 and 22 in cml in 1973. Would the locations on both chromosome's be equidistance from the end (for. The philadelphia (ph) chromosome or philadelphia translocation refers to a chromosomal abnormality resulting from a reciprocal translocation between chromosome 9 and 22. The philadelphia (ph) chromosome is an abbreviated chromosome 22 that was shortchanged in a reciprocal exchange of material with chromosome 9. The philadelphia chromosome or philadelphia translocation (ph) is a specific genetic abnormality in chromosome 22 of leukemia cancer cells (particularly chronic myeloid leukemia (cml) cells). The philadelphia chromosome, discovered in philadelphia in 1960 by nowell and hungerford, was the first clonal cytogenetic abnormality (a balanced translocation between chromosomes 9 and 22). .an exchange between chromosomes 9 and 22 leads to what is known as the philadelphia is it purely mechanical? The philadelphia chromosome arises from a translocation in which one half of the long arm of chromosome 22 becomes attached to the end of the long arm of chromosome 9, creating the. A complex translocation t(5;9;22) in philadelphia cells involving the short arm of chromosome 5 in a case of.

Chromosome Positive Leukemia : This Translocation Occurs In A Cell In The.

Chromosomal Translocation Wikipedia. Philadelphia chromosome or philadelphia translocation is a specific chromosomal abnormality that is associated with chronic myelogenous leukemia (cml). Philadelphia chromosome translocation chloride and sodium charcot marie tooth autosomal recessive inheritance areas of the brain. The philadelphia (ph) chromosome or philadelphia translocation refers to a chromosomal abnormality resulting from a reciprocal translocation between chromosome 9 and 22. However, bcr was translocated to der(2) (figs. This chromosomal abnormality would later be known as the philadelphia chromosome, the first she discovered the existence of a translocation between chromosomes 9 and 22 in cml in 1973. This translocation occurs in a cell in the. The philadelphia chromosome or philadelphia translocation (ph) is a specific genetic abnormality in chromosome 22 of leukemia cancer cells (particularly chronic myeloid leukemia (cml) cells). This video discusses the formation of the philadelphia chromosome bringing about chronic myelogenous leukemia (cml) and the difference between. Would the locations on both chromosome's be equidistance from the end (for. .an exchange between chromosomes 9 and 22 leads to what is known as the philadelphia is it purely mechanical? The philadelphia chromosome, discovered in philadelphia in 1960 by nowell and hungerford, was the first clonal cytogenetic abnormality (a balanced translocation between chromosomes 9 and 22). A complex translocation t(5;9;22) in philadelphia cells involving the short arm of chromosome 5 in a case of. The philadelphia chromosome arises from a translocation in which one half of the long arm of chromosome 22 becomes attached to the end of the long arm of chromosome 9, creating the. This is described by the genetic molecular shorthand t(9;22)(q34;q11). The philadelphia (ph) chromosome is an abbreviated chromosome 22 that was shortchanged in a reciprocal exchange of material with chromosome 9.

Lumen Genetics : The Philadelphia Chromosome, Discovered In Philadelphia In 1960 By Nowell And Hungerford, Was The First Clonal Cytogenetic Abnormality (A Balanced Translocation Between Chromosomes 9 And 22).

Chronic Myelogenous Leukemia And The Philadelphia Chromosome Practice Khan Academy. The philadelphia chromosome or philadelphia translocation (ph) is a specific genetic abnormality in chromosome 22 of leukemia cancer cells (particularly chronic myeloid leukemia (cml) cells). Philadelphia chromosome or philadelphia translocation is a specific chromosomal abnormality that is associated with chronic myelogenous leukemia (cml). The philadelphia (ph) chromosome or philadelphia translocation refers to a chromosomal abnormality resulting from a reciprocal translocation between chromosome 9 and 22. Philadelphia chromosome translocation chloride and sodium charcot marie tooth autosomal recessive inheritance areas of the brain. This video discusses the formation of the philadelphia chromosome bringing about chronic myelogenous leukemia (cml) and the difference between. This translocation occurs in a cell in the. Would the locations on both chromosome's be equidistance from the end (for. A complex translocation t(5;9;22) in philadelphia cells involving the short arm of chromosome 5 in a case of. This chromosomal abnormality would later be known as the philadelphia chromosome, the first she discovered the existence of a translocation between chromosomes 9 and 22 in cml in 1973. The philadelphia chromosome, discovered in philadelphia in 1960 by nowell and hungerford, was the first clonal cytogenetic abnormality (a balanced translocation between chromosomes 9 and 22). .an exchange between chromosomes 9 and 22 leads to what is known as the philadelphia is it purely mechanical? The philadelphia (ph) chromosome is an abbreviated chromosome 22 that was shortchanged in a reciprocal exchange of material with chromosome 9. However, bcr was translocated to der(2) (figs. The philadelphia chromosome arises from a translocation in which one half of the long arm of chromosome 22 becomes attached to the end of the long arm of chromosome 9, creating the. This is described by the genetic molecular shorthand t(9;22)(q34;q11).

Chronic Myeloid Leukemia Ask Hematologist Understand Hematology : A Complex Translocation T(5;9;22) In Philadelphia Cells Involving The Short Arm Of Chromosome 5 In A Case Of.

The Philadelphia Translocation Results From A Reciprocal Translocation Download Scientific Diagram. A complex translocation t(5;9;22) in philadelphia cells involving the short arm of chromosome 5 in a case of. The philadelphia (ph) chromosome is an abbreviated chromosome 22 that was shortchanged in a reciprocal exchange of material with chromosome 9. This video discusses the formation of the philadelphia chromosome bringing about chronic myelogenous leukemia (cml) and the difference between. This chromosomal abnormality would later be known as the philadelphia chromosome, the first she discovered the existence of a translocation between chromosomes 9 and 22 in cml in 1973. Philadelphia chromosome translocation chloride and sodium charcot marie tooth autosomal recessive inheritance areas of the brain. The philadelphia chromosome or philadelphia translocation (ph) is a specific genetic abnormality in chromosome 22 of leukemia cancer cells (particularly chronic myeloid leukemia (cml) cells). This translocation occurs in a cell in the. This is described by the genetic molecular shorthand t(9;22)(q34;q11). Would the locations on both chromosome's be equidistance from the end (for. The philadelphia chromosome arises from a translocation in which one half of the long arm of chromosome 22 becomes attached to the end of the long arm of chromosome 9, creating the. .an exchange between chromosomes 9 and 22 leads to what is known as the philadelphia is it purely mechanical? The philadelphia chromosome, discovered in philadelphia in 1960 by nowell and hungerford, was the first clonal cytogenetic abnormality (a balanced translocation between chromosomes 9 and 22). However, bcr was translocated to der(2) (figs. Philadelphia chromosome or philadelphia translocation is a specific chromosomal abnormality that is associated with chronic myelogenous leukemia (cml). The philadelphia (ph) chromosome or philadelphia translocation refers to a chromosomal abnormality resulting from a reciprocal translocation between chromosome 9 and 22.

Genes And All , The Philadelphia Chromosome ( Ph1 Outdated ) Is A Shortened Chromosome 22, Which Is Found In Some Human Leukemias.

Diseases From Altered Chromosomes Cri Du Chat And Chronic Myelogenous Leukemia Chromoscience. The philadelphia (ph) chromosome is an abbreviated chromosome 22 that was shortchanged in a reciprocal exchange of material with chromosome 9. Would the locations on both chromosome's be equidistance from the end (for. .an exchange between chromosomes 9 and 22 leads to what is known as the philadelphia is it purely mechanical? This chromosomal abnormality would later be known as the philadelphia chromosome, the first she discovered the existence of a translocation between chromosomes 9 and 22 in cml in 1973. The philadelphia chromosome arises from a translocation in which one half of the long arm of chromosome 22 becomes attached to the end of the long arm of chromosome 9, creating the. The philadelphia (ph) chromosome or philadelphia translocation refers to a chromosomal abnormality resulting from a reciprocal translocation between chromosome 9 and 22. However, bcr was translocated to der(2) (figs. Philadelphia chromosome or philadelphia translocation is a specific chromosomal abnormality that is associated with chronic myelogenous leukemia (cml). The philadelphia chromosome, discovered in philadelphia in 1960 by nowell and hungerford, was the first clonal cytogenetic abnormality (a balanced translocation between chromosomes 9 and 22). A complex translocation t(5;9;22) in philadelphia cells involving the short arm of chromosome 5 in a case of. The philadelphia chromosome or philadelphia translocation (ph) is a specific genetic abnormality in chromosome 22 of leukemia cancer cells (particularly chronic myeloid leukemia (cml) cells). This translocation occurs in a cell in the. This is described by the genetic molecular shorthand t(9;22)(q34;q11). This video discusses the formation of the philadelphia chromosome bringing about chronic myelogenous leukemia (cml) and the difference between. Philadelphia chromosome translocation chloride and sodium charcot marie tooth autosomal recessive inheritance areas of the brain.

Overview Of The Philadelphia Chromosome - This Chromosomal Abnormality Would Later Be Known As The Philadelphia Chromosome, The First She Discovered The Existence Of A Translocation Between Chromosomes 9 And 22 In Cml In 1973.

Chromosomal Translocation Philadelphia Chromosome Chromosome Abnormality Karyotype Png 984x768px Chromosomal Translocation Area Cancer Cell Chromosome Download. The philadelphia (ph) chromosome is an abbreviated chromosome 22 that was shortchanged in a reciprocal exchange of material with chromosome 9. The philadelphia chromosome arises from a translocation in which one half of the long arm of chromosome 22 becomes attached to the end of the long arm of chromosome 9, creating the. Would the locations on both chromosome's be equidistance from the end (for. Philadelphia chromosome or philadelphia translocation is a specific chromosomal abnormality that is associated with chronic myelogenous leukemia (cml). The philadelphia chromosome or philadelphia translocation (ph) is a specific genetic abnormality in chromosome 22 of leukemia cancer cells (particularly chronic myeloid leukemia (cml) cells). Philadelphia chromosome translocation chloride and sodium charcot marie tooth autosomal recessive inheritance areas of the brain. However, bcr was translocated to der(2) (figs. The philadelphia chromosome, discovered in philadelphia in 1960 by nowell and hungerford, was the first clonal cytogenetic abnormality (a balanced translocation between chromosomes 9 and 22). This video discusses the formation of the philadelphia chromosome bringing about chronic myelogenous leukemia (cml) and the difference between. This chromosomal abnormality would later be known as the philadelphia chromosome, the first she discovered the existence of a translocation between chromosomes 9 and 22 in cml in 1973. .an exchange between chromosomes 9 and 22 leads to what is known as the philadelphia is it purely mechanical? A complex translocation t(5;9;22) in philadelphia cells involving the short arm of chromosome 5 in a case of. This translocation occurs in a cell in the. The philadelphia (ph) chromosome or philadelphia translocation refers to a chromosomal abnormality resulting from a reciprocal translocation between chromosome 9 and 22. This is described by the genetic molecular shorthand t(9;22)(q34;q11).

Philadelphia Chromosome Bcr Abl1 Gene Fusion And Chronic Myeloid Leukemia : The Reciprocal Translocation Constituting The Philadelphia (Ph) Chromosome T(9;22)(Q34;Q11) Characterizes More Than 90% Of Patients With Chronic Myelogenous Leukemia (Cml).

Chronic Myeloid Leukemia Ask Hematologist Understand Hematology. This translocation occurs in a cell in the. The philadelphia chromosome arises from a translocation in which one half of the long arm of chromosome 22 becomes attached to the end of the long arm of chromosome 9, creating the. The philadelphia chromosome or philadelphia translocation (ph) is a specific genetic abnormality in chromosome 22 of leukemia cancer cells (particularly chronic myeloid leukemia (cml) cells). This chromosomal abnormality would later be known as the philadelphia chromosome, the first she discovered the existence of a translocation between chromosomes 9 and 22 in cml in 1973. A complex translocation t(5;9;22) in philadelphia cells involving the short arm of chromosome 5 in a case of. The philadelphia (ph) chromosome or philadelphia translocation refers to a chromosomal abnormality resulting from a reciprocal translocation between chromosome 9 and 22. Philadelphia chromosome translocation chloride and sodium charcot marie tooth autosomal recessive inheritance areas of the brain. .an exchange between chromosomes 9 and 22 leads to what is known as the philadelphia is it purely mechanical? The philadelphia chromosome, discovered in philadelphia in 1960 by nowell and hungerford, was the first clonal cytogenetic abnormality (a balanced translocation between chromosomes 9 and 22). Philadelphia chromosome or philadelphia translocation is a specific chromosomal abnormality that is associated with chronic myelogenous leukemia (cml). However, bcr was translocated to der(2) (figs. This video discusses the formation of the philadelphia chromosome bringing about chronic myelogenous leukemia (cml) and the difference between. The philadelphia (ph) chromosome is an abbreviated chromosome 22 that was shortchanged in a reciprocal exchange of material with chromosome 9. Would the locations on both chromosome's be equidistance from the end (for. This is described by the genetic molecular shorthand t(9;22)(q34;q11).

Reciprocal Translocation , That It Forms A Mutant 22 Chromosome.

Chronic Myeloid Leukemia Cml Philadelphia Chromosome Youtube. However, bcr was translocated to der(2) (figs. This video discusses the formation of the philadelphia chromosome bringing about chronic myelogenous leukemia (cml) and the difference between. Would the locations on both chromosome's be equidistance from the end (for. This translocation occurs in a cell in the. A complex translocation t(5;9;22) in philadelphia cells involving the short arm of chromosome 5 in a case of. Philadelphia chromosome translocation chloride and sodium charcot marie tooth autosomal recessive inheritance areas of the brain. Philadelphia chromosome or philadelphia translocation is a specific chromosomal abnormality that is associated with chronic myelogenous leukemia (cml). The philadelphia chromosome arises from a translocation in which one half of the long arm of chromosome 22 becomes attached to the end of the long arm of chromosome 9, creating the. This chromosomal abnormality would later be known as the philadelphia chromosome, the first she discovered the existence of a translocation between chromosomes 9 and 22 in cml in 1973. The philadelphia chromosome, discovered in philadelphia in 1960 by nowell and hungerford, was the first clonal cytogenetic abnormality (a balanced translocation between chromosomes 9 and 22). The philadelphia (ph) chromosome or philadelphia translocation refers to a chromosomal abnormality resulting from a reciprocal translocation between chromosome 9 and 22. This is described by the genetic molecular shorthand t(9;22)(q34;q11). .an exchange between chromosomes 9 and 22 leads to what is known as the philadelphia is it purely mechanical? The philadelphia chromosome or philadelphia translocation (ph) is a specific genetic abnormality in chromosome 22 of leukemia cancer cells (particularly chronic myeloid leukemia (cml) cells). The philadelphia (ph) chromosome is an abbreviated chromosome 22 that was shortchanged in a reciprocal exchange of material with chromosome 9.